Onze
BEHANDELINGEN

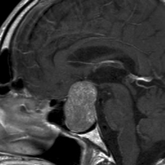
Endoscopische hypofyse en schedelbasischirurgie


De hypofyse is een kleine klier onderaan de hersenen die instaat voor de productie van tal van hormonen. Soms ontwikkelen zich hier goedaardige tumoren, adenomen genaamd. Hiervoor is soms chirurgische behandeling nodig. Zeker als deze tumoren groot worden en op de oogzenuwen gaan drukken of als deze tumoren teveel hormoon gaan produceren. Dit is bijvoorbeeld zo bij de ziekte van Cushing ( te veel cortisol ) of bij acromegalie ( te veel groeihormoon ).


Operaties aan de hypofyse worden tegenwoordig meestal via een kijkoperatie verricht langs de neus ( endoscopische hypofyse ingreep ) in samenwerking met een neus-keel-oor arts. Door deze nieuwe techniek is er geen insnede noodzakelijk en is de last door de ingreep sterk gedaald.


Ook andere tumoren van de schedelbasis of de hersenen kunnen endoscopisch langs de neus worden behandeld. Bijvoorbeeld kwaadaardige tumoren van de neus of sinussen (sinuscarcinoom), craniopharyngiomen of meningiomen van de voorste schedelgroeven. De endoscopische transnasale techniek vermijdt dat de schedel van bovenaf dient opengemaakt te worden en heeft tot doel om gezond (hersen-)weefsel zo maximaal mogelijk te beschermen.


Dit zijn hoog technologisch ingrepen waarbij een nauwe samenwerking tussen de neurochirurg en neus-keel-oor arts noodzakelijk is, worden slechts in een beperkt aantal ziekenhuizen verricht. Het team in het AZ Delta heeft hiervoor verschillende cursussen gevolgd bij gerenomeerde centra in Europa en Amerika.


Locaties

AZ Delta Rumbeke , Deltalaan 1 |
+ 32 51 23 74 46

AZ Delta Roeselare , Brugsesteenweg 90 |
+ 32 51 23 69 80

AZ Delta Menen , Oude Leielaan 6 |
+ 32 56 52 21 75

AZ Delta Torhout , Sint-Rembertlaan 21 |
+ 32 51 23 74 46

Jan Yperman Ieper , Briekestraat 12 |
+ 32 57 35 73 45

Jan Yperman Diksmuide , Laure Fredericqlaan 15 |
+ 32 57 35 73 45


Onze artsen
Dr. Olivier Van Damme (diensthoofd)
Dr. Dimitri Vanhauwaert, Ph.D.
Dr. Jeroen Van Lerbeirghe
Dr. Stephanie Du Four, Ph.D.
Dr. Wim Maenhoudt
Privacy beleid | © impressionant | 2019

Deze website gebruikt cookies.
Door op "Accepteer alle cookies" te klikken, gaat u akkoord met onze privacy- en cookiebeleid.
U kunt uw eigen cookies beheren door op "Cookie-instellingen" te klikken .